Home News & Events Survival trick: Pathogen taps iron source in immune cells
News
14 May 2025

Survival trick: Pathogen taps iron source in immune cells

The body defends itself against pathogens by depriving them of vital iron. However, this strategy doesn’t always succeed against Salmonella. The team led by Prof. Dirk Bumann at the Biozentrum, University of Basel, a Deputy Director of NCCR AntiResist, has discovered that these bacteria specifically target iron-rich regions within immune cells to replicate. Their findings on how pathogens evade the immune defense are important for fighting infections.

Our body keeps bacterial pathogens under control by restricting their access to essential nutrients such as iron. Iron is crucial for all living organisms. When bacteria are deprived of iron, they stop growing and replicating – in other words, they are starved out. As a result, the pathogens are prevented from spreading and the infection is kept under control.

Prof. Dirk Bumann’s team at the Biozentrum, University of Basel, has now discovered in mice that not all pathogens can be outsmarted so easily. In their study, recently published in “Cell Host & Microbe”, the scientists have demonstrated that certain bacteria hide specifically in the few immune cells with particularly high levels of iron. Protected from the immune system, the pathogens replicate in these iron-rich niches.

Iron deprivation as a defense strategy
The researchers studied Salmonella, a bacterium known to cause typhoid fever. To escape the immune defense, this pathogen enters and resides in specific immune cells. These so-called macrophages defend against the invaders by pumping iron out of the bacteria’s hiding place using the transport protein NRAMP1. This nutrient deprivation is a successful defense mechanism of the body. Yet, Salmonella has found a clever way to circumvent this strategy.

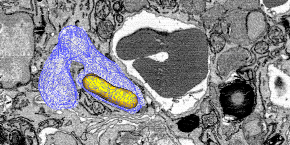
“We were surprised that iron deprivation hardly affects the overall Salmonella population. At first, we couldn’t explain this phenomenon,” says Bumann. “But our single-cell analysis revealed that a significant proportion of the bacteria specifically target iron-rich macrophages.” In fact, Salmonella often infects macrophages in the spleen, which degrade old or damaged red blood cells. Since red blood cells contain large amounts of iron, the sites of their degradation are particularly rich in iron – and the bacteria tap into this resource.

Bacteria exploit iron-rich niches
“In the spleen’s macrophages, we found two Salmonella populations,” explains Bumann. “One group resides in iron-poor regions and struggles to survive. Another subset resides in vesicles rich in red blood cell remnants.”

Also in these vesicles, the NRAMP1 transporter removes the iron for recycling. Yet, the concentration remains extremely high. “Even if over 99 percent of the iron is pumped out, the small remaining amount is still enough for the bacteria to keep growing,” adds Bumann. This iron-replete Salmonella subset primarily drives infection.

Host-pathogen dynamics
Heterogeneous populations are crucial for the survival and spreading of Salmonella within the host. This study highlights the adaptation strategies of pathogens to circumvent even sophisticated immune defense mechanisms.

The findings provide important insights into host-pathogen dynamics. “Our work also emphasizes the importance of studying infections at the single-cell level,” says Bumann. “Only by understanding the survival strategies of pathogens can we find effective ways to combat infections.”

Read it here »

Original publication:

Béatrice Roche, Beatrice Claudi, Olivier Cunrath, Christopher K.E. Bleck, Minia Antelo Varela, Jiagui Li, Dirk Bumann. A Salmonella subset exploits erythrophagocytosis to subvert SLC11A1-imposed iron deprivation. Cell Host & Microbe; published online 14 May 2025